Cabinet dentaire de l'Arsenal Dr Collangettes, Dr Remond et Dr Jodas
Chirurgiens-Dentistes à Chamalières
Cabinet dentaire de l'Arsenal Dr Collangettes, Dr Remond et Dr Jodas

7 place de l'Arsenal
63400 Chamalières

Chirurgiens-Dentistes à Chamalières

CAS ESTHÉTIQUE ANTÉRIEUR SUR IMPLANT DU DOCTEUR MAXIME COLLANGETTES


Cas d'une patiente de 71 ans sans problème de santé particulier, ayant une demande esthétique importante et refusant une prothèse amovible.


Cette patiente consulte pour des mobilités du secteur antérieur. Elle se plaint plus d'une gène que d'une douleur.


A l'examen clinique, les 4 incisives maxillaires ont une mobilité de type 4. L'analyse radiologique montre un volume osseux résiduel compatible avec une mise en charge immédiate d'une prothèse transvissée sur implants strausmann (c). 



Les 2 implants sont posés en post extractionnel avec nettoyage des alvéoles, comblement avec une xenogreffe (os bovin bio-ss giestlich (c)).

Il s'agit d'implant de 3.3mm de diamètre et de 14mm de longueur bone-level.

La stabilité primaire étant compatible avec la mise en charge immédiate, des empreintes sont réalisées et une prothèse transitoire transvissée rigide est posée le soir même avec le contrôle radiologique de l'adaption.



La prothèse est laissée 3 mois et permet l'aménagement des tissus mous.

La patiente ne doit pas mobiliser le bridge pendant 8 semaines pour permettre l'ostéointégration.


Contrôle clinique à 8 semaines

A trois mois, les prothèses sont démontées, une empreinte est prise pour une prothèse céramique transvissée.






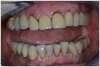
Le sourire de la patiente est une récompense

Création par Webdentiste

Connexion