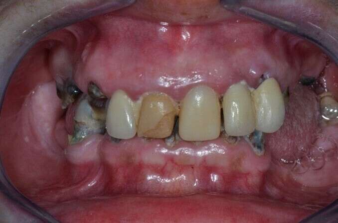
La vie ne nous permets pas toujours de faire ce que l’on veut, et cette patiente s’est négligée au niveau dentaire.
Elle est stressée et nous l’avons mise en confiance pour un plan de traitement complet.
Après quelques mois de réflexion, la patiente est prête.
Nous avons donc réalisé la réhabilitation en deux étapes :
Le maxillaire supérieur dans un premier temps par la pose de 6 implants maxillaires et un bridge fixe sur implants.




Dans un second temps, nous posons 4 implants a la mâchoire inférieur pour poser le lendemain un bridge fixe sur implants


Le sourire et la mastication sont rendus à la patiente qui est ravie.
Ne pas oublier les contrôles annuels.
Prothèse réalisée par le laboratoire ARV Beaumont (63) Manuel Vasconcelos et son équipe.