Dr Maxime COLLANGETTES
D.U d’Implantologie ORALE
Mise en charge immédiate maxillaire et réhabilitation complète
LABORATOIRE ARV Beaumont
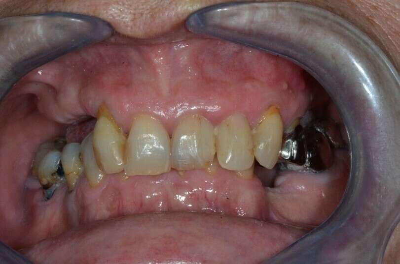
Patiente de 65 ans, sans problème de santé, venue consulter pour une réhabilitation complète.
La patiente ne peut plus mastiquer et le reste de ses dents maxillaires sont douloureuses.
Nous lui proposons donc dans le même temps chirurgical sous anethésie locale, l’avulsion des dents résiduelles et la pose de 6 implants dentaires STRAUMANN.

Etat initial de la patiente photo et radiographie


Planification chirurgicale de la pose des implants



Pose des implants et prothèse provisoire



A 4 mois réalisation des prothèses définitives


