Cas du Dr Maxime COLLANGETTES
Blog - Page 2
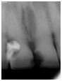
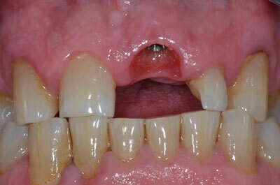
Un patient de 60 ans est venu consulter pour une mobilité d'une incisive centrale maxillaire.
Cette dent sera extraite l'implant sera posé dans la même séance et la pose de la couronne provisoire sera faite dans les 4 heures.
Cas réalisé par le Dr Bernard Gounel et le laboratoire Alliance Prothèse.
Affichage des articles 7-12 sur 155





