Cabinet dentaire de l'Arsenal Dr Collangettes, Dr Remond et Dr Jodas
Chirurgiens-Dentistes à Chamalières
Cabinet dentaire de l'Arsenal Dr Collangettes, Dr Remond et Dr Jodas

7 place de l'Arsenal
63400 Chamalières

Chirurgiens-Dentistes à Chamalières

Blog - Page 5

Facettes

Facettes

Impact du brossage agressif sur l’usure des dents

Impact du brossage agressif sur l’usure des dents

Implant et régénération osseuse

Implant et régénération osseuse

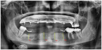
CAS DE RÉHABILITATION GLOBALE MAXILLAIRE ET MANDIBULAIRE

CAS DE RÉHABILITATION GLOBALE MAXILLAIRE ET MANDIBULAIRE

Cas du Docteur Maxime COLLANGETTES

Patient du Docteur Bernard GOUNEL

Fixation d’une prothèse par une barre sur 4 implants

Fixation d’une prothèse par une barre sur 4 implants

Traitement d'une carie par inlay/onlay

Traitement d'une carie par inlay/onlay

Affichage des articles 25-30 sur 155

Création par Webdentiste

Connexion