Cabinet dentaire de l'Arsenal Dr Collangettes, Dr Remond et Dr Jodas
Chirurgiens-Dentistes à Chamalières
Cabinet dentaire de l'Arsenal Dr Collangettes, Dr Remond et Dr Jodas

7 place de l'Arsenal
63400 Chamalières

Chirurgiens-Dentistes à Chamalières

Blog - Page 4

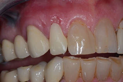
CAS CLINIQUE AGÉNÉSIE D'UNE INCISIVE LATÉRALE SUPÉRIEURE DROITE 12

CAS CLINIQUE AGÉNÉSIE D'UNE INCISIVE LATÉRALE SUPÉRIEURE DROITE 12

Cas clinique agénésie d'une incisive latérale supérieure droite 12

Cas du Dr COLLANGETTES Maxime et laboratoire ARV

MISE EN CHARGE IMMEDIATE, GREFFE OSSEUSE POUR TRAITEMENT D'UN MAXILLAIRE ATROPHIE

MISE EN CHARGE IMMEDIATE, GREFFE OSSEUSE POUR TRAITEMENT D'UN MAXILLAIRE ATROPHIE

Cas du Dr Maxime COLLANGETTES

RÉHABILITATION TOTALE MANDIBULAIRE SUITE A UN BRUXISME EN PHASE TERMINAL

RÉHABILITATION TOTALE MANDIBULAIRE SUITE A UN BRUXISME EN PHASE TERMINAL

Cas du Dr Maxime COLLANGETTES

RÉHABILITATION ESTHÉTIQUE EN URGENCE D'UNE INCISIVE LATÉRALE RÉALISÉE EN TOUT CÉRAMIQUE

RÉHABILITATION ESTHÉTIQUE EN URGENCE D'UNE INCISIVE LATÉRALE RÉALISÉE EN TOUT CÉRAMIQUE

Cas du Dr Maxime COLLANGETTES

CAS ESTHÉTIQUE ANTÉRIEUR SUR IMPLANT DU DOCTEUR MAXIME COLLANGETTES

CAS ESTHÉTIQUE ANTÉRIEUR SUR IMPLANT DU DOCTEUR MAXIME COLLANGETTES

-

BRUXISME ET PROTHÈSE TOUT CÉRAMIQUE DU DR MAXIME COLLANGETTES

BRUXISME ET PROTHÈSE TOUT CÉRAMIQUE DU DR MAXIME COLLANGETTES

Cas d'un patient de 56 ans, consultant pour une altération esthétique et fonctionnelle due à un bruxisme.

Affichage des articles 19-24 sur 155

Création par Webdentiste

Connexion