Cabinet dentaire de l'Arsenal Dr Collangettes, Dr Remond et Dr Jodas
Chirurgiens-Dentistes à Chamalières
Cabinet dentaire de l'Arsenal Dr Collangettes, Dr Remond et Dr Jodas

7 place de l'Arsenal
63400 Chamalières

Chirurgiens-Dentistes à Chamalières

Blog - Page 3

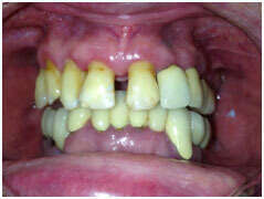
MISE EN CHARGE IMMEDIATE SUR 6 IMPLANTS STRAUMANN

MISE EN CHARGE IMMEDIATE SUR 6 IMPLANTS STRAUMANN

Cas du Dr Maxime COLLANGETTES

REMPLACEMENT D'UNE INCISIVE CENTRALE MAXILLAIRE

REMPLACEMENT D'UNE INCISIVE CENTRALE MAXILLAIRE

Cas du Dr Maxime COLLANGETTES

EVITER UNE GREFFE OSSEUSE LOURDE PAR DES IMPLANTS DE PETITE TAILLE

EVITER UNE GREFFE OSSEUSE LOURDE PAR DES IMPLANTS DE PETITE TAILLE

Cas du Dr Maxime COLLANGETTES

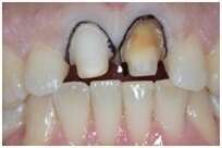
REMPLACEMENT D'UN AMALGAME CARIE PAR UN ONLAY CERAMIQUE E-MAX, CAS DU DR MAXIME COLLANGETTES

REMPLACEMENT D'UN AMALGAME CARIE PAR UN ONLAY CERAMIQUE E-MAX, CAS DU DR MAXIME COLLANGETTES

-

CAS ESTHÉTIQUE ANTÉRIEUR POUR 2 INCISIVES CENTRALES

CAS ESTHÉTIQUE ANTÉRIEUR POUR 2 INCISIVES CENTRALES

Dr Maxime COLLANGETTES

Laboratoire Alliance prothèse

CAS ESTHÉTIQUE ANTÉRIEUR D'UNE INCISIVE CENTRALE MAXILLAIRE

CAS ESTHÉTIQUE ANTÉRIEUR D'UNE INCISIVE CENTRALE MAXILLAIRE

Dr Maxime COLLANGETTES
Laboratoire A.R.V

Affichage des articles 13-18 sur 155

Création par Webdentiste

Connexion